Prótese dentária

O que é?

Na Reabilitação oral o cirurgião dentista está sempre em busca de renovar e devolver o sorriso de seus pacientes.

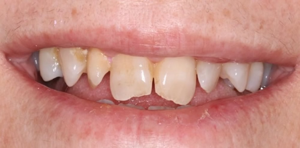
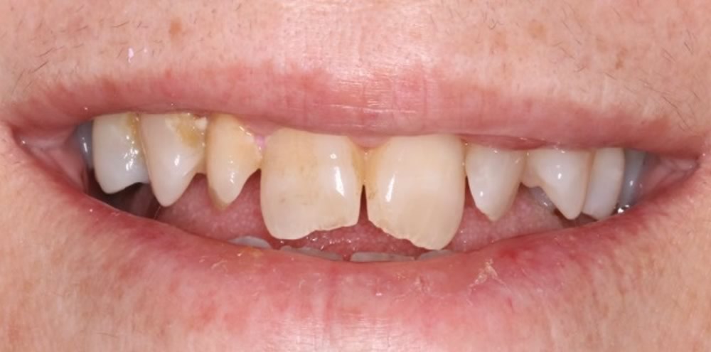
A Prótese Dentária é uma especialidade dentro da odontologia que surge como solução em casos onde se faz necessário a reconstrução de dentes parcialmente destruídos até a reposição de 1 ou mais dentes ausentes na arcada dental do indivíduo.

Durante o planejamento, é indispensável que o profissional analise as diversas opções de tratamento que o caso clínico em questão permite realizar, já que tais procedimentos possuem muitas implicações funcionais e estéticas que devem ser trabalhadas criteriosamente para que o resultado seja realmente satisfatório.

Cada planejamento é único e individual, baseado sempre em exame clínico e exames complementares (exames radiográficos, fotografias, tomografia computadorizada, enceramento de diagnóstico, etc.).

Dentro desta especialidade temos:

Próteses Total

Conhecidas também como Dentaduras, são próteses removíveis, indicadas para pacientes que perderam todos os dentes da arcada superior e/ou inferior. São confeccionadas através de moldagens que reproduz a anatomia da mucosa da arcada do indivíduo. Este método de tratamento relativamente rápido é também de baixo custo e capaz de devolver estética, e função mesmo sendo removível e apenas suportada pela mucosa oral.

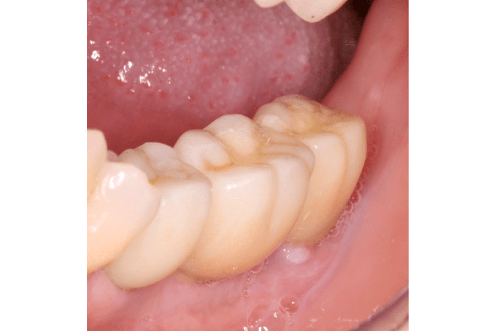
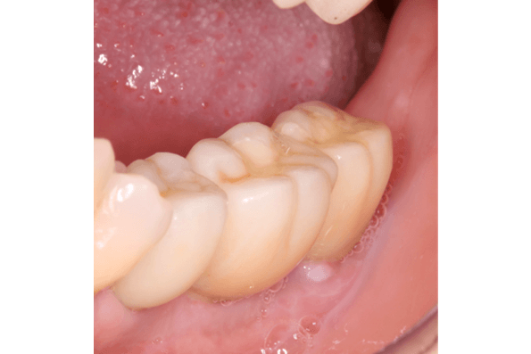
Próteses Fixa sobre dente

Tem a função de substituir um ou mais dentes perdidos ou destruídos. São próteses fixas na boca, presas sobre dentes e feitas de porcelana, podendo ser unitária ou múltipla (quando une três ou mais dentes para suprir uma ou mais ausência dentária).
Pode-se considerar também como prótese fixa, os laminados cerâmicos conhecidos como facetas e lentes de contato dental, mais indicados para o paciente que busca melhorar a estética em dentes anteriores.

Próteses Fixa sobre implante

É utilizada para substituir ,através de implantes intra-ósseo, dentes já condenados que foram, ou ainda precisam ser extraídos. É a melhor opção capaz de restabelecer função mastigatória, conforto e estética, seja em casos de reabilitação de um único dente ou até de uma arcada dentária inteira (protocolo). As próteses sobre implante podem ser produzidas com diversos materiais, e esta escolha se torna fundamental para um resultado estético favorável.

Perguntas frequentes

1. Eu preciso fazer tratamento de canal sempre que fizer uma prótese dentária?

A prótese Dentária, nem sempre, necessita de tratamento de canal do dente. Esta decisão cabe ao profissional avaliar e irá depender do grau de destruição do dente a ser tratado e da presença de dor.

2. Há a possibilidade de tratar o dente sem ter que fazer o canal ou a prótese dentária?

Existem muitas situações em que podemos evitar a necessidade de uma Prótese no dente ou o tratamento de canal. O dentista irá avaliar as possibilidades de tratamento mais conservador e sem essas necessidades.

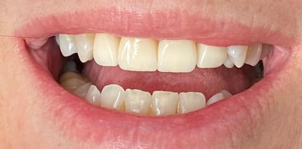
3. Caso necessitar de uma prótese dentária, é possível fazer um tratamento estético?

Hoje, com os recursos tecnológicos modernos existentes na odontologia, e que a PrevPar utiliza nos seus pacientes, é possível a obtenção de resultado altamente estético e com custos acessíveis.

4. Quanto tempo dura uma prótese dentária?

Não há um prazo de validade pré-estabelecido de uma prótese dentária. Depende de vários fatores, mas com os recursos disponíveis, a qualidade dos materiais empregados e a precisão da execução dos trabalhos, pode-se obter um tratamento duradouro e que devolve todos os requisitos estéticos e funcionais.

Agende uma avaliação

Sobre nós

A PREVPAR surgiu em 1995 como uma empresa de odontologia familiar em que, seus sócios, Rogério e Lívia, necessitavam constituir uma empresa voltada a Odontologia de excelência. E assim, desde então, a PREVPAR nasceu e vem atuando com princípios de qualidade, experiência, dedicação e amor. Em 2012 a empresa adquiriu sua sede própria. O Dr. Rogério, como sócio fundador, sempre esteve envolvido nas atividades docentes e no aperfeiçoamento profissional, que contribuiu e vem contribuindo muito no sucesso que a empresa desfruta no mercado odontológico. Mas os desafios são muitos para o futuro, pois a Odontologia tem crescido em tecnologia e ciência e requer constantes avanços em conceitos, instalações, equipamentos e profissionais.

Agendar