Endodontia

O que é?

É uma especialidade destinada ao diagnóstico, tratamento e prevenção das doenças que atingem a parte interna do dente: a polpa, a raiz e os tecidos periapicais, que envolvem a raiz.

Indicações do tratamento endodôntico

Cárie profunda

A cárie, em estágio inicial, ataca o esmalte do dente, para apenas depois chegar em camadas mais profundas. Com o avanço da cárie, ela pode atingir outros elementos, como a dentina e a polpa do dente. Quando ocorre a contaminação da polpa, é necessário realizar o tratamento de canal que consiste na remoção da parte interna do dente.

Necrose Pulpar

Morte pulpar podendo ocorrer formação de abcessos (acúmulo de pus, inchaço).

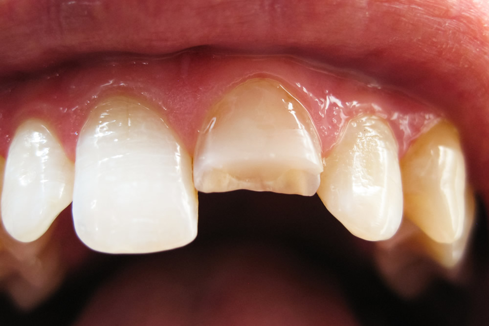
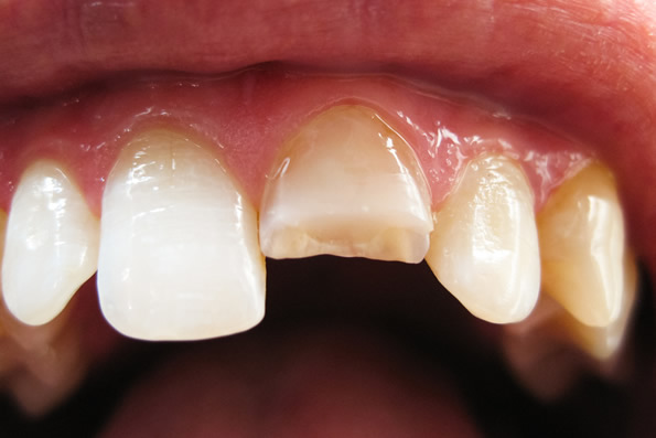
Fratura do dente

Ocorre por diversos motivos (problemas na arcada, complicações do bruxismo ou impacto externo), mas o fato é que expõe a parte interna do dente, ou seja, a polpa (“nervo”), à ação de agentes externos.

Indicação protética

Por fim, outra possibilidade de tratamento de canal é quando existe a indicação para prótese. O dente, está comprometido e não apresenta uma estrutura para receber a restauração. Logo, o tratamento de canal consegue abrir espaço na parte interna da dentição, para que ele receba o núcleo (pino) de retenção, o qual posteriormente dará sustentação à prótese dentária.

Como é feito o tratamento?

A abertura é feita através da coroa do dente até a polpa. Limas especiais são usadas para eliminar a infecção dos canais. Em seguida, modelam o canal para o preenchimento do espaço antes ocupado pela polpa.

Cuidados após o tratamento endodôntico

Após o tratamento endodôntico concluído, é importante realizar a restauração definitiva ou prótese do dente, para que não ocorra a fratura do remanescente dental (o que sobrou do dente).

Retratamento de canal

Em algumas situações, o profissional tem que retratar um elemento dental. Devido a persistência dos sintomas, ou se a lesão que originou o tratamento endodôntico não desaparece, ou mesmo surgimento de uma lesão onde antes não existia.

Perguntas frequentes

1. Quando o dente dói , é necessário realizar tratamento canal?

Normalmente, essa dor pode ser causada por lesões de cárie, retração gengival, doenças periodontais (tecidos de sustentação e proteção do dente), traumatismo dentário, hipersensibilidade. Por isso é necessário uma avaliação clínica e radiográfica.

2. O paciente sente dor durante o tratamento de canal?

Antes de iniciar o procedimento, o dente e a área circundante são anestesiados para evitar a sensação de dor. Pode ter dor e sensibilidade por alguns dias depois do tratamento. O profissional deve prescrever um analgésico para aliviar qualquer desconforto temporário.

3. Quanto tempo leva para fazer um tratamento de canal?

O tempo de tratamento vai depender da infecção do dente ou da técnica a ser empregada, A maior parte dos casos é finalizada em uma única sessão. Porém se o dente estiver infeccionado ou sensível, podem ser necessárias duas ou mais sessões.

4. O que pode acontecer se o canal de um dente for mal feito?

Um tratamento endodôntico mal conduzido implicará em dor, infecção persistente, e até mesmo outras consequências mais graves como lesões em torno da raiz, comprometimento da região e disseminação da infecção para tecidos, ossos e órgãos.

5. É normal sentir dor depois do tratamento de canal?

O tratamento de canal é um procedimento delicado e, por isso, é comum que o paciente sinta dores após o procedimento. Claro que isso não acontece em todos os casos, mas, quando há o risco, o dentista prescreve os medicamentos necessários para diminuir o desconforto.

6. O dente pode escurecer após o tratamento de canal?

Na maior parte das vezes, o procedimento de canal não escurece ou altera a coloração da dentição, se for realizada a técnica de desinfecção correta. No entanto, o escurecimento pode ocorrer se o dente sofrer um trauma que ocasiona hemorragia interna ou necrose pulpar antes do tratamento ser realizado.

Agende uma avaliação

Sobre nós

A PREVPAR surgiu em 1995 como uma empresa de odontologia familiar em que, seus sócios, Rogério e Lívia, necessitavam constituir uma empresa voltada a Odontologia de excelência. E assim, desde então, a PREVPAR nasceu e vem atuando com princípios de qualidade, experiência, dedicação e amor. Em 2012 a empresa adquiriu sua sede própria. O Dr. Rogério, como sócio fundador, sempre esteve envolvido nas atividades docentes e no aperfeiçoamento profissional, que contribuiu e vem contribuindo muito no sucesso que a empresa desfruta no mercado odontológico. Mas os desafios são muitos para o futuro, pois a Odontologia tem crescido em tecnologia e ciência e requer constantes avanços em conceitos, instalações, equipamentos e profissionais.

Agendar